|
Aufnahmen im biologischen & medizinischen Bereich
Medizinische Abbildungen sind die treibende Kraft hinter vielen neuen Entwicklungen im Bereich der digitalen Detektoren für die Radiographie. Die Detektoren von Rad-icon sind für den Energiebereich von 10 bis 30 kV optimiert, der breite Anwendung in der Mammographie und bei anderen Abbildungen von Weichgewebe findet. Ein CsI Szintillator kann verwendet werden um die DQE für höhere Energien zu verbessern, wodurch sich weitere Anwendungsgebiete erschliessen, wie Knochendichtemessung, Dentalaufnahmen und allgemeine Radiographie.
Bitte klicken Sie auf eine der folgenden Abbildungen, um eine Vergrösserung zu sehen:
|

|

|

|
|
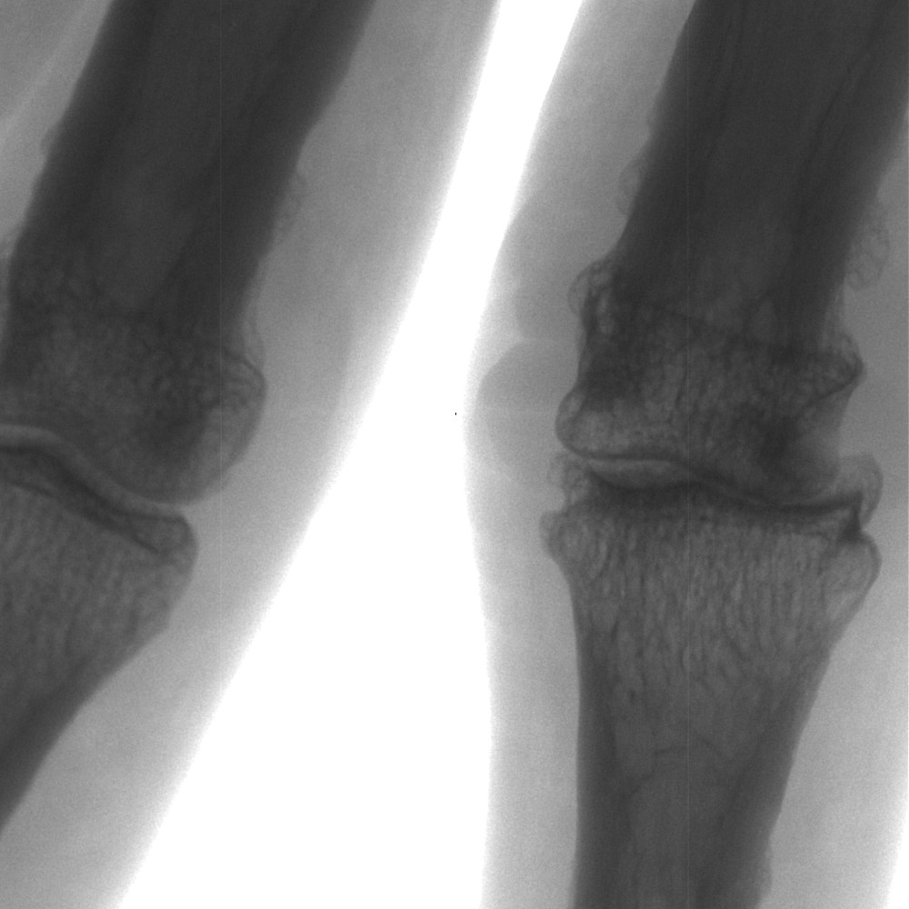
Daumengelenk (40kV/0.2mA).
|
Fingerspitzen (40kV/0.2mA).
|
Handgelenk, Radius (40kV/0.2mA).
|
|

|

|

|
|
Finger nach verheilter Verletzung (60 kV/0,2mA)
|
Detailausschnitt
|
Femur-Knochen (60 kV/0,2mA)
|
|

|

|

|
|
ACR Testphantom. (Nuc. Assoc. #18-250)
|
Kleiner tropischer Fisch
|
Knochensegment abgebildet mit 50kV.
|
|
|